A great smile starts with a great dentist

Smile Gallery

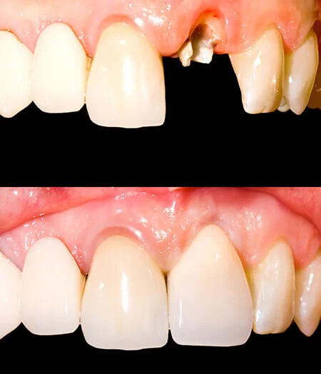
Welcome to our smile gallery!

Do you have a tooth that is giving you trouble or causing you pain? Are you missing a tooth? Or maybe, you just want to brighten your smile. Check out our smile gallery to see the results you can expect to get from Ridge View Dental of Ogden, Utah!

 
ogden-dentist-perfect-teeth.jpg